Обучение управлению беспилотниками
Для чего школьникам нужно изучать беспилотную авиацию?
Управление беспилотниками - одно из популярных направлений в детском дополнительном образовании. Школьники на практике постигают основы электротехники, принципы аэродинамики, учатся программированию. Эти навыки они смогут применить практически в любой профессии.
Одно из самых перспективных направлений - программирование дронов для выполнения рутинных действий в автоматическом режиме.
Специалисту нужно лишь нажать кнопку, чтобы запустить аппарат, и он сам летит, например, в теплицу, определяет уровень увлажненности почвы и, если необходимо, подает сигнал системе полива. У сотрудника освобождается время для решения более сложных задач.
"В спортивных дисциплинах квадрокоптеры разгоняются до 250 километров в час, а пилоты с помощью FPV-технологии (трансляция на монитор или очки) видят трассу от первого лица. Управление ими требует долгой тренировки"
Конкурс фотографий дистанционного интернет-турнира по шахматам
Поздравляем учеников начальной школы и участников медиацентра «Взгляд» с третьим местом на конкурсе фотографий дистанционного интернет-турнира по шахматам «Точка роста - 2024».
Наши призеры: Регер Ольга, Форостова Валерия (2г класс), Кошелев Дмитрий, Константинов Назар, Шугай Мирра, Голубцов Андрей (2в класс), Павловский Ростислав, Лермонтов Тимур (3г класс), Арсентьев Артем, Дурманова Линда (8г класс).
Спасибо за участие нашим ученикам и желаем получать удовольствие от каждой игры в шахматы.

Конкурсная работа ученицы 6-в класса и участницы медиацентра «Взгляд» Елизаветы Малетиной на Международный детский Медиасаммит.
Она поговорила с членом федерального Совета Первых, председателем регионального Совета Первых по Ленинградской области, ученицей 10 класса МБОУ СОШ №1 города Тосно Максимовой Александрой.
Победители конкурса будут приглашены на медиасмену в лучший детский центр Дальнего Востока!
Поддержим нашу ученицу и пожелаем ей удачи в конкурсном отборе.
Новый год наступил, а новогоднее настроение не покидает юных творцов центра образования «Точка роста» МБОУ «СОШ 2 г. Никольское» объединение «3D ручка».
Дарим вам улыбки, хорошее настроение и замечательные работы! (педагог Садретдинов И.В.)
Креативная группа Кванториума47 Нелли Пивоварова и Дарья Афанасьева сегодня побывали в «Точке роста» Никольской школы №2.
Ученики 2, 5, 6, 7 и 9 классов стали участниками новой интеллектуально-развлекательной программы «Квантобойня. Игры пяти хамелеонов»
Задания квантобойни включают себя туры на логику и смекалку, внимательность и расширение словарного запаса, развивают гибкие навыки – умение работать в команде, критическое мышление и креативность. Надеемся, что ребята узнали сегодня много нового и интересного, а также весело провели время.
А вы любите понедельники так, как любимым их мы?
Ребята из центра образования «Точка роста» МБОУ «СОШ 2 г. Никольское», от всей души поздравляют с праздником весны, любви и красоты!
Ссылка на видео: https://vk.com/video-126656572_456239684
В центре образования «Точка роста» МБОУ «СОШ 2 г. Никольское».
Работа кипит, ребята готовят поздравление с 8 марта!
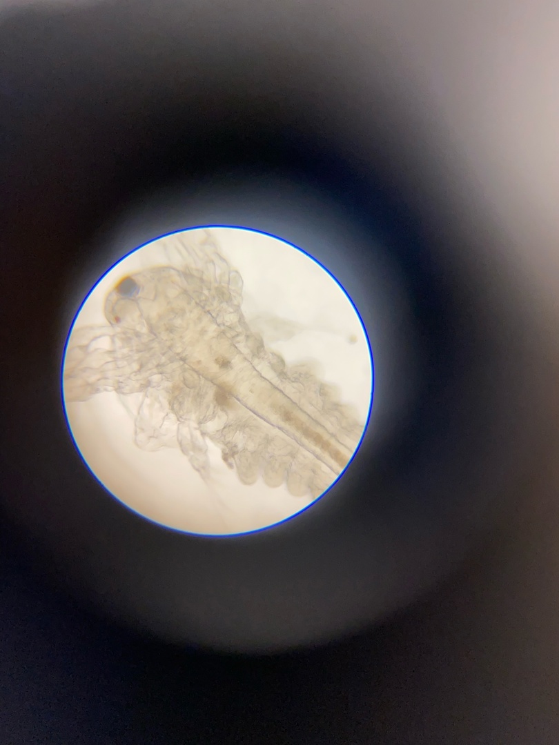
Исследовать мир, в котором ты живешь – это интересное занятие. Сегодня в Центре образования «Точка роста» МБОУ "СОШ 2 г. Никольское» продолжили проект по выращиванию рачков-Артемий. Артемия – древнее ракообразное, обитающее в солёных озёрах, реже – в морских заливах со времён динозавров.
Своё название рачки получили в честь богини Артемиды, богини, дарующей здоровье. Артемия является одним из наиболее удивительных и необычных существ, интересных своим образом жизни и уникальными адаптационными способностями.
Цель проекта: вырастить рачков и определить их адаптационные возможности. «Детский сад» готов. Рачки появились из яиц, активно двигаются, кушают и растут.
Руководитель: Астошова М.А. учитель биологии.
15 марта в рамках соглашения о сотрудничестве с МКДОУ №10 г.Никольское в Центре образования «Точка роста» МБОУ «СОШ №2 г.Никольское» прошел мастер - класс для воспитанников подготовительной к школе группы. Педагоги Садретдинов И.В. и Приймак А.В., а также их юные помощники, ученики 3 «А» и 2 «Г» классов, показали ребятам как строятся и программируются роботы, какие замечательные подарки можно делать с помощью 3D ручки.
Малыши с удовольствием пробовали себя в робототехнике и моделировании. И вот, первые космические спутники запрограммированы и запущены, мельница начала перерабатывать зерно, а яркие и веселые солнышки украсили нашу весну.
«Точка роста» помогает развивать таланты, воспитывать настоящих умников и умниц!
ПОЗДРАВЛЯЕМ участников дистанционного интернет-турнира по шахматам «Точка роста 2023»!
Номинация «ПРОФЕССИОНАЛЫ»:
I место – БАРАНОВ ИВАН, 9а класс
III место – Цыцан Виталий, 10 класс
Дистанционная викторина «Точка роста – 2023»
НОМИНАЦИЯ «ЛЮБИТЕЛИ»:
I место – Кузнецова Милана, 5а класс
БЛАГОДАРИМ ПРЕПОДАВАТЕЛЕЙ за ОГРОМНЫЙ труд!
Первые работы учеников кружка "3D - моделирование и печать на 3D-принтере" на базе Центра образования "Точка роста" в МБОУ "СОШ №2 г. Никольское"!
Большая и интересная подготовка: изучение программы и устройства принтера. Терпение, трудолюбие и вот результат - Брелок готов!
Двигаемся дальше!
В Биологической Лаборатории Центра образования "Точка роста" МБОУ "СОШ №2 г.Никольское" ребята знакомятся со строением клеток водорослей.
Наблюдают движение хлоропластов.
Цитоплазма двигается и теперь это видно!




